(630) 499-5555
Hablamos Español
Woman with curly hair smiling, wearing a green jacket and standing outdoors.

Smile Gallery

Woman with curly hair smiling, wearing a green jacket and standing outdoors.
The image displays a close-up of a person s mouth with a yellowish tooth and gum discoloration, showing a smile with teeth that appear to be in poor condition.

Before

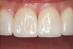
The image shows a close-up of a person s smile, revealing well-maintained teeth and a healthy oral appearance.

After

Dental implants with a diamond-studded bracket, showcasing a luxurious and unique dental accessory.

Before

The image shows a close-up of a person s teeth with braces, featuring metal brackets and wire segments.

After

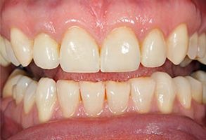
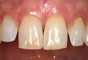
The image displays a close-up of a person s teeth with an emphasis on the yellowing and staining, likely for dental health or cosmetic purposes.

Before

The image shows a close-up of a person s teeth with signs of discoloration, particularly yellowing and staining, which might suggest poor oral hygiene or the need for dental care.

After

The image displays a close-up of a person s face, focusing on the lower half of their face, showing teeth with braces and a smile.

Before

The image shows a close-up of a person s mouth with teeth, smiling broadly.

After

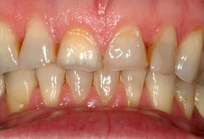
The image shows a close-up of an individual s teeth, with the focus on the lower front teeth which appear to be in need of dental work.

Before

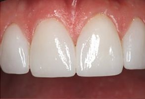
An image of a close-up view of a person s teeth and upper lip, showcasing a bright smile with white teeth and pink gums.

After

The image shows a close-up of a person s teeth, revealing yellowing and discoloration.

Before

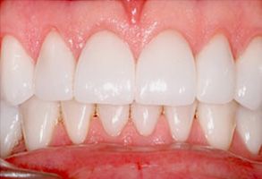
White teeth with a pink gum line in a close-up view.

After

The image shows a close-up of a person s teeth, with the focus on the lower front teeth which appear to be in need of repair or replacement due to discoloration and possible decay.

Before

The image shows a close-up of a person s teeth with a focus on the lower front teeth, which are prominent and appear to be well-maintained.

After

The image shows a close-up of a person s mouth with teeth that appear to be in poor condition, possibly indicating dental decay or neglect.

Before

This is a close-up image of a person s teeth, showcasing their dental alignment and oral hygiene.

After

Contact Us

Schedule your appointment online or give us a call to get started today.

Hablamos Español

Tranquil Dental 3450 Montgomery Road, Aurora, IL 60504